Pán okolo päťdesiatky, upravený a milý sympaťák. Prišiel si k nám pre zdravý, krásny a žiarivý úsmev. Mal jasno od prvej minúty. „Prial by som si taký ten klasický american smile pán doktor“, vyhlásil neochvejne hneď potom, čo zasadol do zubárskeho kresla pri vstupnej prehliadke.
Rozprávali sme si o tom s MDDr. Jakubom Scheerom, jeho ošetrujúcim lekárom zo Shill Dental Clinic Praha.
Aká bola cesta nášho pacienta k americkému úsmevu?
Úspešná 😃 Náš pacient má zo svojho nového úsmevu a opravených zubov veľkú radosť. A to je hlavné. Liečba trvala dlho a nebola úplne jednoduchá, výsledok ale stojí určite za to.
Čo všetko ste riešili?
Riešili sme tvar aj zafarbenie zubov. Pán mal vrodenú vadu zhryzu – hrýzol „hrana na hranu“ – a nikdy v minulosti to nebolo riešené strojčeko. Bohužiaľ. Keby býval nosil strojček, zuby by sa mu dostali do správnej polohy a hrýzol by správne. Zuby by si neskúsal a nezničil. Tým, ako človek hryzie „hrana na hranu“, sa zuby opotrebujú, odštepujú a ničia…
Aký výsledný efekt chcel náš pacient dosiahnuť?
Pacient chcel estetický úsmev, preto sme sa snažili dosiahnuť pri rekonštrukcii veľkosti a tvaru pôvodných zubov. Vzhľadom na defekt zhryzu pacienta nebolo možné zuby dostavať, pretože tam nebol potrebný priestor.
Aké sú varianty riešenia?
Strojčeky sú vždy najlepšie riešenie – posunieme zuby tam, kam potrebujeme. Niektorých zubov sa tak vďaka tomu pri liečbe vôbec nemusíme dotknúť. V tomto prípade by sme riešili iba šesť predných zubov.
Náš pacient so strojčekom nesúhlasil. Navyše vzhľadom na to, že potreboval vyriešiť problémy aj so zadnými zubami, k alternatívnemu postupu tu boli objektívne indikácie.
Pre aké riešenie ste sa teda rozhodli?
Opraviť a dostavať zadné zuby a zvýšiť skus. Tým sa zväčší priestor na dostavbu predných zubov. Navyše, náš pacient túžil po skutočne bielom americkom úsmeve a ani opakované bielenie nefungovalo podľa jeho očakávania. Preto sme to riešili keramickými korunkami a overlay (keramické žuvacie plôšky) na zadných zuboch a fazetami na predných zuboch.
Aký bol postup liečby?
Najprv prebehla podrobná dentálna hygiena a prvé bielenie.
Nasledovala oprava zubov. Pri niekoľkých postihnutých zuboch sme čistili kanáliky a pripravovali zuby na korunky a overlay. Dva zuby sa trhali a boli zavedené implantáty. Na zadných zuboch sú korunky/overlay keramické práce. Na predné zuby sme aplikovali fazety.
Ako dlho liečba trvala?
Relatívne dlho, pretože po vytrhnutí zubov sme museli zhruba 3 mesiace čakať na zahojenie rán pred zavedením implantátov. Potom sme museli čakať ďalšie tri mesiace na zahojenie implantátov. Obdobie čakania sme využili na to, že sme dali do poriadku všetky ostatné zuby a postupne ich pripravili na okorunkovanie. Po zahojení implantátov sme zuby postupne okorunkovali a potom aplikovali fazety. Liečba celkovo trvala zhruba rok.
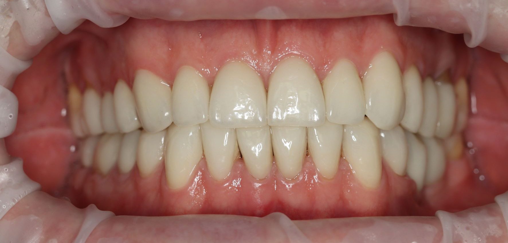
Pred:

Po:

Stredy zubných oblúkov nesedia úplne symetricky. Je to preto, že by sme museli veľmi zbrúsiť zdravé zuby, aby sa fazety dali nasadiť úplne rovno a symetricky. Je to malá estetická nedokonalosť, ale pacient s tým súhlasil a preferoval – je to menej invazívne, nebrúsi sa zdravý zub, len veľmi jemne. V tomto prípade sme jemne brúsili prednú stranu zubov – cca 0,5 mm a menej – a potom sme aplikovali fazetu.
Uvažujete o krajšom úsmeve aj vy? Objednajte sa na konzultáciu.